
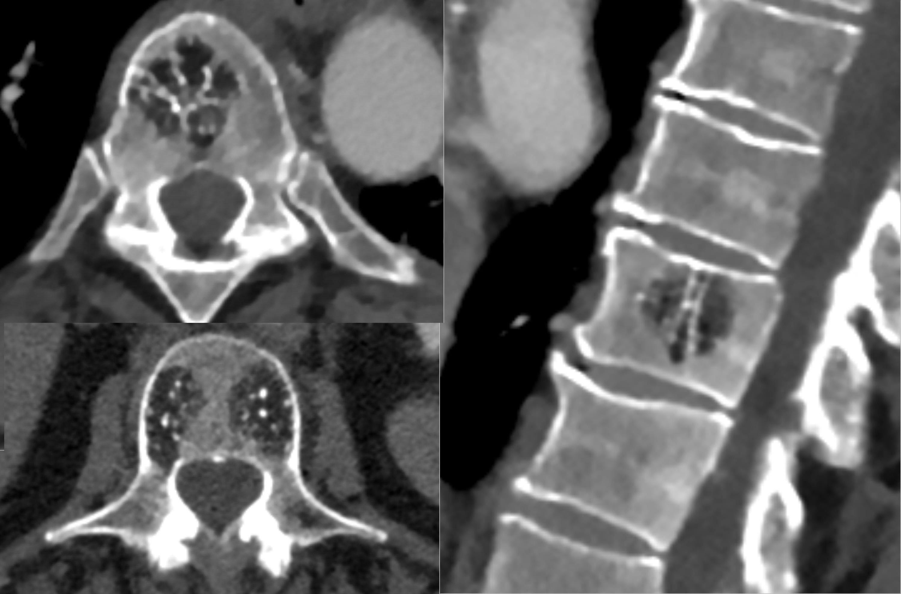
Annular Fissure Assessment and Treatment — Annular Disc Tear
1,021 views
The Deuk Spine blog is dedicated to providing education and information on the root cause causes of back and neck pain, treatment solutions, industry insights, and the alternatives to spinal fusion surgery including our proprietary Deuk Laser Disc Repair.














