Neck Pain Management: Best Treatments for Neck Pain

Picture of Dr. Ara J. Deukmedjian, MD
Dr. Ara J. Deukmedjian, MD

Board-Certified Neurosurgeon, CEO & Founder of Deuk Spine Institute

View Profile
Last updated: April 2, 2026
7 min read
Share this article:
Neck pain management and treatment options
Neck Pain Management: Best Treatments for Neck Pain

Medical Disclaimer: This content is for educational purposes only and does not constitute medical advice. Individual results may vary. Always consult with your healthcare provider about your specific condition and treatment options.

Neck pain is one of the most common musculoskeletal complaints in the world. According to a landmark 2024 analysis published in The Lancet Rheumatology, neck pain affected approximately 203 million people globally in 2020, and case numbers are projected to continue rising through 2050 as populations age. 1 In the United States alone, between one-third and half of all adults experience neck discomfort every year.

Neck pain can range from a mild stiffness that resolves in a few days to a persistent, debilitating condition that interferes with work, sleep, and daily life. The good news is that effective neck pain management and treatments exist at every stage, from simple home remedies to advanced minimally invasive procedures. This guide covers everything you need to know about neck pain: what causes it, how it is diagnosed, and the full spectrum of treatments available today.

Key Points

✓ Neck pain affects over 203 million people worldwide and is one of the top causes of disability globally.

✓ It can be acute (under 6 weeks) or chronic (over 3 months), and the root cause is often disc-related inflammation.

✓ Most cases resolve with conservative care such as physical therapy, medications, and targeted exercises.

✓ Imaging such as MRI, X-ray, and CT scan helps identify the underlying structural cause.

✓ When conservative treatment fails, minimally invasive procedures like Deuk Laser Disc Repair ® offer a surgery-day discharge with no metal hardware.

✓ Seek immediate medical care if you experience progressive weakness, numbness, loss of bladder/bowel control, or severe neck pain after trauma.

Free virtual consultation and MRI review clickable banner.

What Is Neck Pain?

Neck pain is discomfort in or around the cervical spine, the seven vertebrae (C1-C7) that support the weight of your head and protect the spinal cord as it travels from your brain toward your body. The neck has a remarkable range of motion, but that mobility also makes it vulnerable to injury and degeneration.

Neck pain is generally classified by how long it lasts:

  • Acute neck pain lasts from a few days up to six weeks and is often triggered by a specific incident such as poor sleeping position, muscle strain, or a minor injury.
  • Subacute neck pain persists for six weeks to three months.
  • Chronic neck pain lasts longer than three months and frequently signals an underlying structural problem in the cervical spine, such as disc degeneration, a herniated disc, or nerve compression.

Left unaddressed, chronic neck pain can reduce your quality of life, limit your range of motion, and even lead to disability. Understanding the source of your pain is the first step toward lasting relief.

What Causes Neck Pain?

Neck pain rarely has a single cause. In most cases, it results from a combination of structural, biomechanical, and lifestyle factors. The most common underlying mechanisms include:

Disc Herniation and Annular Tears

The intervertebral discs act as shock absorbers between the vertebrae. When a disc sustains stress or trauma, a tear can form in the tough outer ring (annulus fibrosus). Pressure on the disc causes the soft inner material (nucleus pulposus) to push through the tear, a process called herniation. The resulting inflammatory tissue generates persistent pain signals and, if it presses on nearby nerve roots, can cause radiating pain, tingling, or weakness in the arm.

Degenerative Disc Disease

With age, the cervical discs naturally lose height and water content. This degeneration can cause the space between vertebrae to narrow, placing increased stress on surrounding structures and contributing to chronic neck pain and stiffness.

Facet Joint Arthritis

The facet joints are the small stabilizing joints at the back of each vertebra. Arthritis in these joints produces inflammation, sharp pain with movement, and reduced range of motion.

Bone Spurs (Osteophytes)

As discs degenerate, the body sometimes attempts to stabilize the affected spinal segment by forming extra bone. These bone spurs can narrow the spinal canal or the openings where nerve roots exit the spine (neural foramina), compressing nerves and producing radiating arm symptoms.

Muscle Strain and Poor Posture

Prolonged screen use, forward head posture, and repetitive motions can overload the neck muscles and ligaments. Muscle tension from chronic stress is another contributor, particularly for people who carry tension in the neck and shoulders.

Trauma

Car accidents, sports collisions, and falls can cause whiplash, disc injuries, and fractures. Even minor trauma can create annular tears that persist long after the acute pain subsides.

Spinal Stenosis

Narrowing of the spinal canal in the neck, known as cervical spinal stenosis, compresses the spinal cord or nerve roots, producing a range of symptoms including neck pain, arm pain, numbness, weakness, and in advanced cases, difficulty with balance or coordination.

Symptoms of Neck Pain

Neck pain can present in many ways depending on the underlying cause. Common symptoms include:

  • Aching, stiffness, or tightness in the neck or upper shoulders
  • Sharp pain that worsens with specific movements
  • Headaches originating at the base of the skull
  • Radiating pain, tingling, or numbness traveling from the neck into the shoulder, arm, or hand (radiculopathy)
  • Muscle weakness in the arm or hand
  • Reduced range of motion or difficulty turning the head

Seek immediate medical attention if your neck pain is accompanied by progressive arm weakness, loss of coordination, difficulty walking, or any change in bowel or bladder function, as these symptoms may indicate spinal cord compression requiring urgent care.

How Is Neck Pain Diagnosed?

An accurate diagnosis is essential for guiding treatment. Your physician will begin with a thorough medical history and physical examination, including an assessment of your range of motion, reflexes, muscle strength, and sensation. In many cases, imaging studies are ordered to identify the structural cause of your symptoms.

X-Ray

An X-ray provides rapid images of the bony structures of the cervical spine. It can reveal narrowed disc spaces, fractures, bone spurs, and changes consistent with osteoarthritis. X-rays do not show soft tissue structures like discs or nerves.

Xray image of a neck with a metal cage placed during ACDF surgery.

MRI (Magnetic Resonance Imaging)

MRI is considered the gold standard for evaluating neck pain. It provides detailed images of the discs, spinal cord, nerve roots, and surrounding soft tissues, making it the best tool for identifying herniated discs, spinal stenosis, nerve compression, and early signs of cord injury. A thorough understanding of your MRI findings is critical for determining the most appropriate and definitive treatment approach.

CT Scan

A computed tomography (CT) scan excels at visualizing bone structures and is particularly useful for identifying bone spurs and the precise extent of bony narrowing. It provides a 360-degree view and is often used when an MRI is not possible, such as in patients with certain metallic implants or pacemakers.

Electrodiagnostic Studies

Electromyography (EMG) and nerve conduction studies may be ordered when nerve compression is suspected, helping to confirm the location and severity of nerve involvement.

Herniated DIsc Virtual Consulation

Conservative (Non-Surgical) Treatment Options

The vast majority of neck pain episodes respond well to conservative management. Most physicians recommend trying non-surgical treatments for at least six to twelve weeks before considering more interventional approaches. Conservative strategies are designed primarily to manage symptoms, reduce inflammation, and support natural healing.

Physical Therapy

Physical therapy is among the most widely recommended and evidence-supported treatments for neck pain. A 2025 network meta-analysis published in BMJ Open confirmed that musculoskeletal manual therapy, including mobilization and manipulation, is a recommended first-line approach for neck pain in clinical practice guidelines, valued for being non-invasive and cost-effective. 2

Physical therapy for neck pain typically includes two components:

  • Passive physical therapy: Treatments applied by the therapist, such as heat or cold therapy, ultrasound, electrical stimulation, and manual cervical traction. A 2025 systematic review and network meta-analysis found that manual therapy alone should be considered the first-line conservative treatment for cervical radiculopathy, while the additional benefit of adding traction remains under investigation. 3
  • Active physical therapy: Therapeutic exercises you perform yourself, including targeted strengthening of the deep neck flexors and scapular stabilizers, flexibility training, and postural correction. Regular exercise builds muscular support around the cervical spine, reducing mechanical stress on the discs and joints.
A physical therapist in blue scrubs examining a woman's elbow, demonstrating how physical therapy treats various musculoskeletal issues.

Mind-body exercise modalities are also gaining research support. A 2024 systematic review comparing mindfulness-based exercises for chronic neck pain found that yoga, Pilates, Tai Chi, and Qi Gong all reduced pain and disability compared to no exercise, with yoga combined with heat therapy showing the greatest impact across pain, disability, and cervical mobility outcomes. 4

Additionally, a 2025 randomized controlled trial published in Frontiers in Pain Research demonstrated that Tai Chi combined with intermediate frequency therapy produced significant improvements in chronic non-specific neck pain, adding to the evidence base for integrative movement-based approaches. 5

Medications

A range of medications may be used to manage neck pain and reduce inflammation:

  • Non-steroidal anti-inflammatory drugs (NSAIDs) such as ibuprofen or naproxen reduce both pain and swelling.
  • Acetaminophen can relieve pain without anti-inflammatory effects.
  • Muscle relaxants may help reduce spasm and allow better participation in physical therapy.
  • Neuropathic pain medications such as gabapentin or pregabalin are sometimes prescribed when nerve-related symptoms such as tingling or burning are prominent.
  • Short-term oral corticosteroids may be used for severe flare-ups of inflammation.

Medications address symptoms but do not repair underlying structural damage such as annular tears or disc herniations.

A person's hand selecting pain relief pills from various medicine bottles and packages on a table.

Cervical Epidural Steroid Injections

A cervical epidural steroid injection delivers anti-inflammatory corticosteroid medication directly into the epidural space surrounding the spinal cord in the neck. This targeted approach can significantly reduce pain, tingling, and numbness caused by inflamed nerve roots. While injections are not a permanent cure, they can provide meaningful relief that allows you to participate more effectively in physical therapy or, in some cases, postpone surgery.

A close-up image of a syringe drawing medication from a vial, symbolizing medical treatments such as epidural steroid injections.

Facet Block Injections and Rhizotomy

When neck pain originates primarily from the facet joints rather than the discs, facet block injections can confirm the diagnosis and provide temporary relief by delivering corticosteroid medication directly into or near the affected joints. For more durable relief, Deuk Plasma Rhizotomy® (DPR) is a minimally invasive outpatient procedure that uses plasma energy to precisely deactivate the small nerve fibers carrying pain signals from the arthritic facet joints, providing long-term pain reduction without metal hardware or post-operative narcotics.

Platelet-Rich Plasma (PRP) and BMAC Therapy

Advanced pain management also includes biologic treatments. Platelet-rich plasma (PRP) therapy concentrates healing growth factors from a patient’s own blood and injects them into the affected area to promote tissue regeneration and reduce pain. Bone marrow aspirate concentrate (BMAC) therapy uses stem cells harvested from the patient’s own bone marrow to stimulate cell regeneration in damaged tissue. These regenerative approaches are most appropriate for carefully selected patients and are best discussed with a specialist.

Home Care and Lifestyle Modifications

Several practical strategies can support recovery and help prevent recurrence:

  • Heat and cold therapy: Ice packs reduce acute inflammation, while heat loosens stiff muscles.
  • Neck exercises and stretches: Gentle range-of-motion and strengthening exercises help maintain flexibility and reduce recurrence risk. Always perform exercises within a pain-free range.
  • Ergonomic adjustments: Set up your workstation so your monitor is at eye level, and ensure your chair provides adequate lumbar and cervical support.
  • Sleep position: A supportive pillow that maintains neutral cervical alignment reduces overnight strain.
  • Stress reduction: Techniques such as diaphragmatic breathing, mindfulness meditation, and gentle yoga can reduce the muscle tension that amplifies cervical pain.

When to Consider Surgery for Neck Pain

Surgery is rarely the first line of treatment for neck pain. Most physicians recommend exhausting conservative options for at least three to six months before considering an operative approach. However, certain clinical situations warrant earlier surgical evaluation:

  • Progressive weakness in the arms or hands despite conservative care
  • Persistent numbness or tingling that does not respond to treatment
  • Documented spinal cord compression (myelopathy) with balance or coordination problems
  • Chronic, disabling pain that significantly limits daily activities after three to six months of comprehensive non-surgical management
  • Neurological deficits that are worsening rather than improving
  • Evidence of severe disc herniation or stenosis on imaging that correlates with your symptoms

If you are experiencing any of the above, it is important to consult with a board-certified spine specialist who can review your imaging, correlate it with your clinical examination, and discuss all available options.

Surgical Treatment Options for Neck Pain

When non-surgical management does not provide adequate relief, several surgical options are available. The right procedure depends on the specific structural problem causing your pain.

Deuk Laser Disc Repair (DLDR)

Deuk Laser Disc Repair® is the most advanced minimally invasive procedure for treating discogenic neck pain, meaning pain arising from a damaged or herniated cervical disc. Developed by Dr. Ara Deukmedjian, a world-renowned neuro-spine surgeon and founder of Deuk Spine Institute, DLDR uses a 4-millimeter incision through the front of the neck and a high-powered laser to precisely remove the herniated disc material causing nerve inflammation and pain. Because no metal hardware is placed in your body and the soft tissue disruption is minimal, the procedure is performed on an outpatient basis, allowing patients to go home the same day. Most patients require no post-operative narcotic medications. Dr. Deukmedjian has reported an average of 99% pain relief in treated pain sources across more than 2,700 procedures, with a complication rate of 0.01%.

DLDR preserves the natural motion of the cervical spine and avoids the significant limitations and long-term risks associated with fusion surgery.

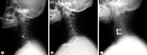
Traditional Fusion Surgery (ACDF)

Anterior cervical discectomy and fusion (ACDF) has been the standard surgical treatment for cervical disc herniation for decades. The procedure involves removing the damaged disc, relieving pressure on the affected nerve or spinal cord, and then permanently fusing the adjacent vertebrae using bone graft and metal hardware. While effective for many patients, fusion permanently limits the neck’s natural range of motion and transfers mechanical stress to adjacent spinal levels. Research has shown that adjacent segment disease requiring reoperation affects approximately 11% of fusion patients, and radiographic degeneration at adjacent levels develops in up to 30%.

An xray highlighting the ACDF on the Cervical spine.

Laminectomy

A laminectomy involves removing portions of the lamina (the bony arch on the back of the vertebrae) that are compressing the spinal cord or nerve roots. It is most commonly performed for cervical spinal stenosis and is frequently combined with fusion to maintain spinal stability.

Foraminotomy

A foraminotomy enlarges the opening (foramen) through which a nerve root exits the spinal canal, relieving compression caused by bone spurs, thickened ligaments, or disc material. It can be performed from the front or back of the neck and is often done alongside other procedures.

Minimally Invasive Endoscopic Surgery

Modern endoscopic techniques have dramatically reduced the invasiveness of cervical spine surgery. A comprehensive systematic review published in early 2023 evaluated full-endoscopic cervical spine surgery and concluded that it is a safe and effective option associated with substantial pain relief, functional improvement, and high patient satisfaction. 6 The review found that conditions previously considered unsuitable for endoscopic approaches, including severe central stenosis and multilevel pathology, can now be treated with these advanced techniques. Endoscopic patients also show significantly lower 30-day readmission rates than those undergoing traditional open surgery.

Neck Pain Management Starts With an Accurate Diagnosis

Neck pain management without an accurate diagnosis is guesswork. Medications reduce inflammation temporarily, physical therapy helps when structural damage is minor, but neither repairs a torn annular wall or a damaged cervical disc. The right treatment depends entirely on knowing the actual source of your pain.

If you have been managing neck pain for months without lasting relief, a thorough evaluation is the next step.

Free virtual consultation and MRI review clickable banner.

Frequently Asked Questions

How do I know if my neck pain is serious?

Most neck pain is not an emergency. However, you should seek immediate medical attention if you experience severe pain following trauma, progressive weakness or numbness in your arms or hands, loss of coordination or difficulty walking, or any changes in bowel or bladder function. These symptoms can indicate spinal cord compression that requires urgent evaluation

How long does it take for neck pain to get better with conservative treatment?

Many cases of acute neck pain improve within a few weeks to six weeks with rest, gentle exercise, and over-the-counter medications. Chronic neck pain typically requires a structured rehabilitation program; a standard physical therapy course runs six to twelve weeks. If symptoms have not meaningfully improved after three to four months of comprehensive conservative treatment, a specialist evaluation is warranted to discuss more targeted interventions.

Is surgery always the last resort for neck pain?

Surgery is typically reserved for patients who have not responded to non-surgical care and who have documented structural problems on imaging that correspond to their symptoms. However, some situations, such as progressive myelopathy (spinal cord compression with neurological decline), may require more timely surgical intervention to prevent permanent damage. The goal is always to choose the most effective and least invasive approach appropriate for each individual patient.

What makes Deuk Laser Disc Repair different from traditional neck surgery?

Traditional cervical surgery, such as ACDF, requires removing the disc and permanently fusing adjacent vertebrae together using metal screws, rods, or cages. This alters the biomechanics of the neck and has been associated with adjacent segment disease in a meaningful percentage of patients over time. Deuk Laser Disc Repair ®, by contrast, uses a 4-millimeter incision, no metal hardware, and a laser to treat the source of discogenic pain directly. The procedure is performed outpatient, requires no post-operative narcotics, and preserves the natural motion of the cervical spine.

Sources

  1. GBD 2021 Neck Pain Collaborators. “Global, regional, and national burden of neck pain, 1990-2020, and projections to 2050.” The Lancet Rheumatology, March 2024.
  2. BMJ Open (2025). “Effectiveness of musculoskeletal manipulations in patients with neck pain: a systematic review and network meta-analysis.” PMC12519666
  3. Dove Medical Press (2025). “Manual Therapy for Cervical Radiculopathy: Effects on Neck Disability and Pain.” PMC12008560
  4. Conquer Chiari Research Update (June 2025). “Comparing Types of Exercise for Reducing Neck Pain” (summarizing 2024 systematic review on mindfulness-based exercises). conquerchiari.org
  5. Frontiers in Pain Research (2025). “Effects of Tai Chi combined with intermediate frequency therapy on patients with chronic nonspecific neck pain.” doi:10.3389/fpain.2025.1700212
  6. World Neurosurgery (2023). “Full Endoscopic Spine Surgery for Cervical Spondylotic Myelopathy: A Systematic Review.” PubMed PMID 37169077;
Share this article:

Table of Contents

Patients ask me about stem cell therapy for spine and herniated discs more than almost any other alternative to surgery….

You have been told you need ACDF, anterior cervical discectomy and fusion. Maybe a surgeon reviewed your MRI, pointed to…

By Dr. Ara Deukmedjian, MD Board-Certified Neurosurgeon, Deuk Spine Institute Medically reviewed on March 25, 2026 Medical Disclaimer: This content…