Hemangioma Spine Introduction — also known as Spinal Hemangioma

Picture of Dr. Ara J. Deukmedjian, MD
Dr. Ara J. Deukmedjian, MD

Board-Certified Neurosurgeon, CEO & Founder of Deuk Spine Institute

View Profile
Last updated: October 14, 2022
7 min read
Share this article:
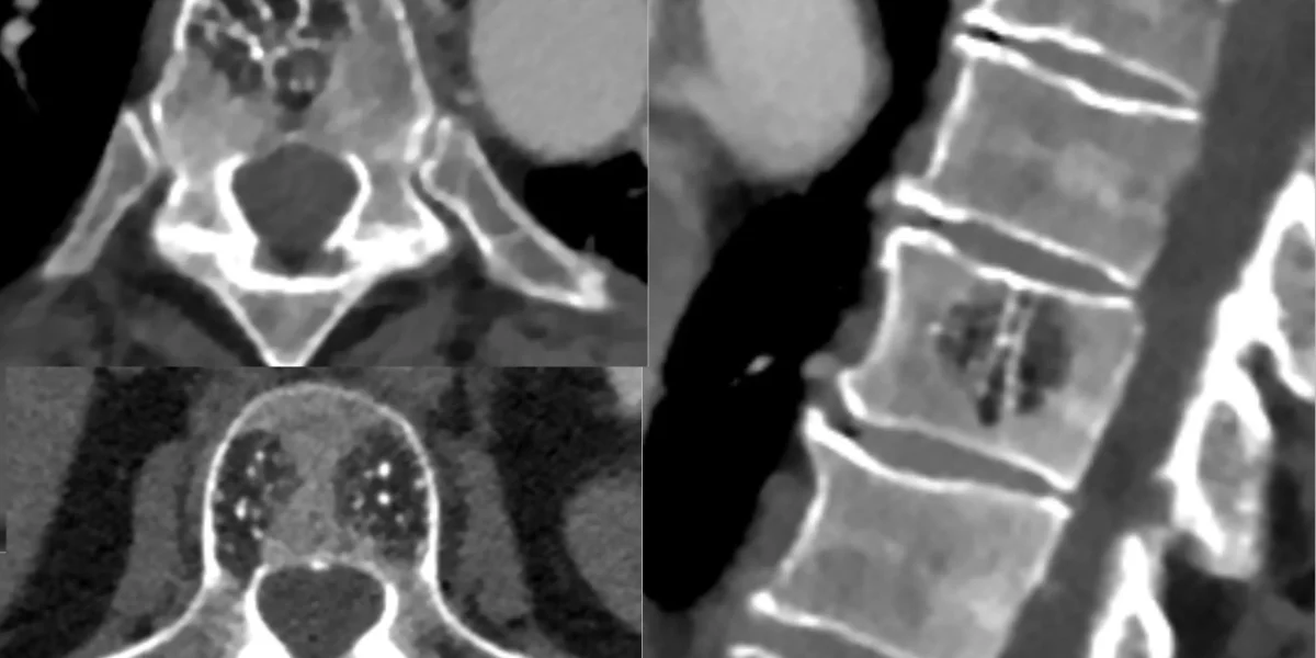
CT scans showcasing Hemangioma Spine

The most frequent primary tumor of the spine is a spinal hemangioma. These lesions are vascular in nature and frequently feature an overgrowth of healthy capillary and venous systems. These are typically unintended discoveries made during radiological imaging of the spine and body.

If you or a loved one is experiencing any of the following symptoms outlined in this article, it’s time to get a FREE Consultation and MRI Review with Deuk Spine Institute. We will help relieve your pain and get you back to living your life without limitations!

It is estimated that 0.9% to 1.2% of these lesions can be symptomatic, with the majority of these symptoms being back pain and neurologic problems. In this activity, the interprofessional team’s involvement in treating patients with spinal hemangiomas is reviewed along with its examination and management.

Objectives:

  • Determine the histology and genesis of spinal hemangiomas.
  • Give an explanation of a thorough assessment and workup for individuals who present with a suspected spinal hemangioma.
  • List the best course of action for treating spinal hemangiomas and providing case management.
  • Review the significance of interprofessional team collaboration to deliver the best care possible to patients with spinal hemangiomas and keep an eye out for any problems.

Introduction to Hemangioma Spine

The most frequent primary tumor of the spine is a spinal hemangioma. This lesion, which is often benign, has vascular origins and, like hemangiomas in other sections of the body, is characterized by an expansion of healthy capillary and venous structures. One study claims that they were found in roughly 11% of patients who underwent a general autopsy. These lesions are typically discovered incidentally during body and spine CT and MR imaging, as well as frequently during thoracolumbar spine radiography. It is estimated that 0.9% to 1.2% of these lesions can be symptomatic, with the majority of these symptoms being back pain and neurologic problems. Symptoms can include excruciating back pain that becomes worse when you walk, although you can also present with mild to moderate pain. Hemangiomas frequently invade the spinal canal or neural foramina in situations of neurogenic pain.

Hemangioma Spine Etiology

A well-known feature of these benign lesions is a vascular proliferation of capillaries comparable to hemangiomas in other areas of the body, despite the fact that the precise etiology and instigating cause of spinal hemangiomas genesis are not well recognized. Proliferation subsequently results in bone displacement and, in rare instances, spinal canal erosion. Hemangiomas of the spine do not spontaneously regress, in contrast to infantile hemangiomas.

Epidemiology of Hemangioma Spine

According to autopsy investigations, spinal hemangiomas occur 11% of the time. Most are discovered by chance and can be identified on cross-sectional imaging as well as spine radiography. Males and females are affected differently. As much as 27% of incidence has also been noted in MRI investigations.

Spinal Hemangioma Histopathology

Specimens may exhibit periosteal elevation visibly. Capillary and cavernous angiomas are the two histologic forms of vertebral hemangiomas that can develop. Large blood arteries in cavernous angiomas are not divided by normal bone. Thin-walled capillary capillaries are separated by healthy bone in capillary angiomas. The lesion is typically surrounded by a capsule, and any nearby bone may show signs of osteolysis.

Physical and Historical Details

A detailed history and physical should have two main objectives when a hemangioma is symptomatic. In the context of a planned intervention, a doctor must rule out more alarming etiologies and evaluate the patient’s health status.

Back pain is a common complaint among patients, and a history of an incidentally discovered hemangioma should not deter a clinician from thoroughly assessing other potentially serious causes of back pain, such as metastasis, infection, primary malignancies of the spinal cord, and osteoporotic compression fractures. The history should cover the pain’s start, aggravating and mitigating circumstances, intensity and nature of the pain, and any radiation that would point to radiculopathy. Hemangiomas typically affect the thoracic spine and can cause localized pain.

A doctor should be on the lookout for metastatic lesions if a patient complains of discomfort in many locations. More importantly, secondary symptoms are significant, especially when metastasis is suspected. A detailed history should be obtained, not just focusing on the genitourinary and gastrointestinal systems but also including them. Back pain that is referred from other parts of the body, cancer history, trauma history, osteoporosis history, and pain that does not go away with resting and lying down should all be given more consideration, which may include additional imaging.

Physical examination is generally a thorough back examination that includes a visual examination of the skin that lies on top, determining the spine’s curvature, and analyzing gait. Additionally, the range of motion, including forward flexion, extension, lateral flexion, and rotation, should be assessed. The patient’s reported pain spot should be specifically palpated on the spine. To determine whether there is costovertebral tenderness, percussion should be used. The physical examination of the spine should include a check for radiculopathy since hemangiomas can erode into the spinal canal. The straight leg lift test for the lower back and the Spurling maneuver when there is cervical radiculopathy should be done as special techniques to assess for radiculopathy. Tests of reflexes and feel should be carried out, paying special attention to the thoracic dermatomes. The evaluation of the gastrointestinal and genitourinary systems should round out the physical exam.

Assessment

The size, location, and level of lytic involvement of the spinal canal and neural foramina are all important factors to consider when evaluating a hemangioma. A pronounced trabecular pattern with vertical striations is typically visible on radiographs. The vertebral body’s density is frequently increased, giving it a sclerotic appearance. The height and size of the vertebral bodies should not change. Hemangiomas exhibit the well-known corduroy (accordion) pattern on CT scans due to the coarsening of the trabeculae. Despite being uncommon, CT imaging can be used to assess bone damage and extension into nearby soft tissues, such as the spinal canal. MR imaging offers a conclusive evaluation of soft tissue extension.

Management and Treatment

Treatment and intervention are typically not used in asymptomatic individuals because the great majority of hemangiomas are asymptomatic and benign entities. Different treatments have been employed in the treatment of symptomatic patients. Endovascular embolization has been demonstrated to decrease spinal cord compression from epidural extension and has been used to treat uncomfortable vertebral hemangiomas. The ability of percutaneous vertebroplasty to reduce pain has also been demonstrated. Spinal hemangiomas have been treated with transpedicular ethanol injection, however side effects have been reported. Since spinal hemangiomas are radiosensitive lesions, radiation therapy has also been utilized to treat painful lesions.

Diagnosis of Differential

There are many possible diagnoses for sclerotic lesions of the spine. A vertebral body lesion that resembles a hemangioma may be a marker of Paget disease, however, cortical thickening frequently coexists with the distinctive “picture frame sign.” The vertebrae’s squaring can also be seen. The differential diagnosis should also take into account sclerosing metastases, such as that seen in cases of prostate cancer, osteosarcoma, and medullary thyroid carcinoma. Multiple myeloma and lymphoma are additional differentials.

Potential Complications

Even though they are rare, complications can occasionally happen. Given that these highly vascular lesions have the potential to bleed, resulting in a hematoma and subsequent cord compression, pathologic burst fracture can be troublesome. Even though it is uncommon, an epidural extension can happen when there is cord compression, which might result in neurologic impairments. Neurologic symptoms can result from damage to nerve roots that exit the body.

Despite the fact that bleeding is typically an iatrogenic consequence, spontaneous epidural hemorrhage can nonetheless happen.

Deterrence and Education for Patients

A patient can be reassured that a hemangioma is a benign entity in the case of a verified and asymptomatic hemangioma. In the event of pain or any form of neurologic deficit, the patient should visit the clinic again. Then, a detailed evaluation can be carried out to determine the cause of the symptoms and to clarify whether the newly discovered symptoms are due to an already symptomatic hemangioma or are due to a different cause.

Improving Healthcare Team Results

Back pain or neurological symptoms are the two main symptoms that patients with symptomatic vertebral hemangiomas come to their primary care physician with. Understanding and determining if a vertebral hemangioma or another pathology is the pain generator during a specific complaint about back pain in the context of back pain requires collaboration between a primary care physician and a radiologist. A physiatrist can be helpful in treating pain in more severe back pain patients. Surgery is frequently required in situations with neurologic complaints, and it’s crucial to work closely with a radiologist to assess the extent of extension into the spinal cord or neural foramina.

The Deuk Spine Institute encourages and welcomes you to contact us today regarding any questions or concerns you may have regarding your current situation.

​​If you or someone you love is experiencing any of the preceding symptoms outlined, it is imperative to get a FREE Consultation and MRI Review with the Deuk Spine Institute. We can help relieve your pain and get you back to living your life without limitations!

Share this article:
Table of Contents

By Dr. Ara Deukmedjian Board-Certified Neurosurgeon Medically reviewed on May 13, 2026 Medical Disclaimer: This content is for educational purposes…

By Dr. Ara J. Deukmedjian, MD Board-Certified Neurosurgeon Medically reviewed on May 12, 2026 Medical Disclaimer: This content is for educational…

Patients who receive a spinal fusion surgery recommendation often leave their surgeon’s office with more questions than answers. They understand…