Procedure Not Recommended

Spinal Cord Stimulator (SCS)

Risks, Complications & Better Alternatives

Spinal Cord Stimulator masks pain with electrical signals without treating the source. It requires a laminectomy for placement, leads are prone to migration, and patients become dependent on a device for life. Discover safer, minimally invasive alternatives that treat the root cause of pain.
Gloved hand pointing at a spine model with an attached device.

⚠️ While Deuk Spine Institute can perform Spinal Cord Stimulator implantation, we do not recommend it.
This page explains why — learn the risks before consenting to this procedure.

THE SURGICAL PROCESS

How Is Spinal Cord Stimulator Performed?

Graphic Surgical Content

The videos below contain real surgical footage. Viewer discretion is advised.

Step 1: Two Large Skin Incisions

Two separate incisions are made — one in the spine for lead placement and another in the buttock/abdomen for the generator.

Step 2: Remove Dorsal Fascia

The tough connective tissue covering the spine muscles is cut and removed to access deeper structures.

Step 3: Remove Muscles from Spine

Spinal muscles are stripped from the bone, causing permanent damage and weakness to the stabilizing musculature.

Step 4: Remove Spinous Process & Ligaments

The bony protrusion and stabilizing ligaments at the back of each vertebra are cut away with surgical instruments.

Step 5: Laminectomy & Remove Ligamentum Flavum

The lamina (protective bone arch) and ligamentum flavum are removed, exposing the spinal cord.

Step 6: Remove Facet Joint & Capsule

Facet joints that provide spinal stability are destroyed, often leading to instability requiring fusion.

Step 7: Place Leads on Spinal Cord

Electrode leads are carefully positioned directly on the spinal cord to deliver electrical stimulation signals.

Step 8: Connect Leads to Generator/Battery

The leads are tunneled under the skin and connected to a pulse generator (battery) implanted in the buttock or abdomen.

CRITICAL RISKS

Why We Don't Recommend Spinal Cord Stimulator

20 documented reasons with supporting images and surgical footage.

Graphic Medical Content

Images and videos below contain real surgical procedures and medical imagery.

Close-up of a spinal cord stimulator implant procedure with visible leads.

Highly Invasive Procedure

Excessive Bleeding

Close-up of a surgical incision showing exposed tissue in two comparison images.

Destroys Stabilizing Bones

Close-up of a surgical incision with visible tissue and a scalpel in two images.

Destroys Stabilizing Ligaments

Surgical procedure with instruments and gloved hands on exposed tissue.

Destroys Spinal Muscles

Surgical procedure with instruments exposing tissue and bone.

Excessive Scar Tissue

Man with medical device on his back in a clinical setting.

Complications Are Common

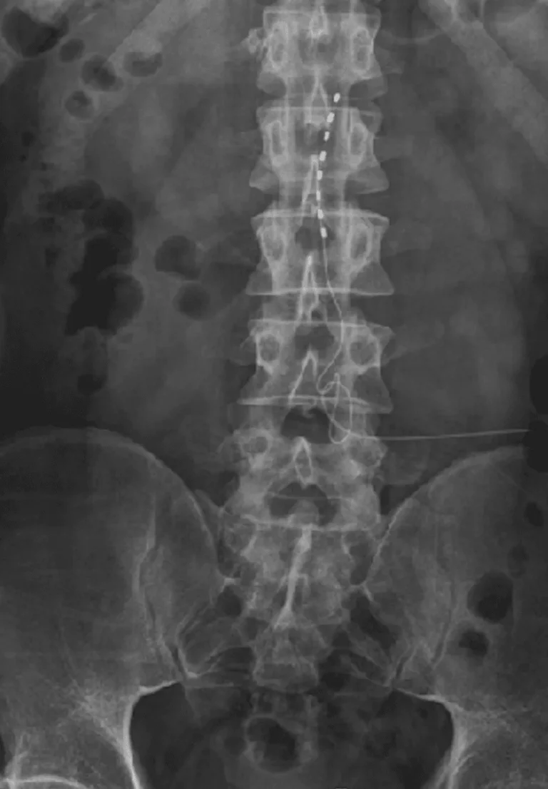
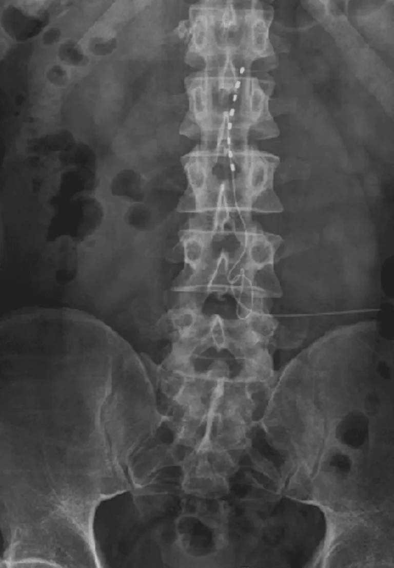
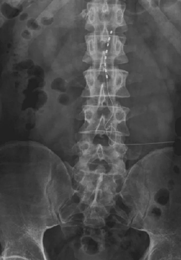
X-ray image showing a spinal cord with a series of electrode implants.

Spinal Instability

MRI and X-ray images of the spine showing hardware along the vertebral column.

Disc Injuries Left Untreated

Illustration of a spinal column with an inflamed section highlighted, showing red inflammation around vertebrae.

Stenosis Not Properly Treated

A surgical incision with a drainage tube next to scattered pills and an open bottle.

Severe Post-Operative Pain

X-ray of a lower spine with metal implants and a medical device on the right side.

Back Pain Gets Worse

X-ray illustration of a spine with the lower back highlighted in red.

Does Not Treat Back Pain

Close-up of an open surgical site with surgical tools and visible tissue.

Requires Laminectomy

Surgical field with clamps and a device adjacent to an incision on a patient.

Invasive Surgery Required

Person lying down with medical tubing and electrodes attached to the chest, eyes covered with tape.

General Anesthesia Required

A person's side with multiple sutured surgical incisions.

90%+ Need Additional Surgery

A surgeon performs a procedure with multiple electrodes attached to a patient's abdomen.

Lifetime Pain Management

X-ray showing a spinal cord stimulator with leads along the spine.

Lead Migration & Scar Tissue

Illustration showing an inflamed annular tear and herniation causing back pain.

Lifetime Device Dependency

DOCUMENTED COMPLICATIONS

What Can Go Wrong?

Graphic Medical Content

Images below show real surgical complications. Viewer discretion is advised.

A person's back with multiple moles and freckles.

Nerve Root or Spinal Cord Injury

Permanent nerve or spinal cord damage causing weakness, numbness, or paralysis in extremities.

MRI showing a spinal fluid leak with red arrows indicating the affected area.

Spinal Fluid Leak

Dural tears during lead placement leading to cerebrospinal fluid leaks, requiring additional repair surgery.

A surgical wound on skin and scattered white pills near an open orange bottle.

Infection

Including meningitis, spinal epidural abscess, osteomyelitis, and discitis from implanted hardware.

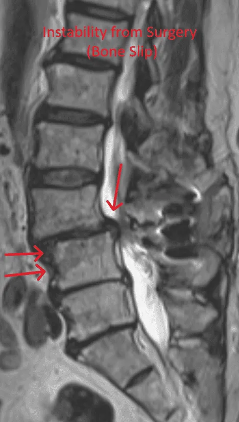
MRI scan highlighting spinal instability and bone slip with red arrows and text.

Spinal Instability

Laminectomy during placement removes stabilizing structures, causing instability requiring fusion with screws and rods.

Close-up of a spinal column showing a vertebra with a visible fracture and inflammation.

Fractured Vertebrae

Weakened spine from bone removal during placement can lead to vertebral fractures and collapse.

Illustration of inflamed spinal vertebrae with a close-up view of affected area.

Residual Stenosis

Stenosis persists or reoccurs after SCS placement, requiring additional surgical intervention.

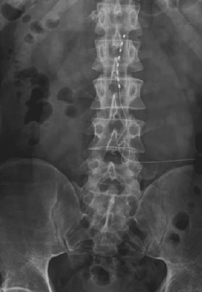
X-ray image showing a spinal column with a spinal cord stimulator implant.

Lead Migration

Implanted leads shift from their original position, causing loss of pain relief and requiring revision surgery.

A person's back showing scars with a red arrow pointing to the lower one.

Scarring Within the Spine

Excessive scar tissue forms around the spinal cord and nerves, causing chronic pain and nerve dysfunction.

Person in motorized wheelchair on a path, with a green backpack attached.

Paralysis

Lead placement on the spinal cord carries risk of permanent paralysis from cord damage during surgery.

WHAT WE RECOMMEND INSTEAD

Deuk Laser Disc Repair®: A Safer, Proven Alternative

Instead of masking pain with electrical signals, Deuk Laser Disc Repair® uses endoscopic technology and laser precision to treat the actual source of pain — the damaged disc — through an incision smaller than a fingernail. For piriformis-related pain, Deuk Piriformis Release offers targeted relief, and Deuk Plasma Rhizotomy® addresses facet joint pain without hardware or device dependency.

No Device Dependency

Treats the source of pain directly — no permanent implant, no leads, no generator, no battery replacements for life.

Treats Root Cause

Laser technology directly repairs the damaged disc — the actual source of pain that SCS merely masks with electrical signals.

Same-Day Recovery

Outpatient procedure under light sedation. Walk out the same day — no hospital stay, no intubation, no opioids required.

Proven Results

95% patient satisfaction, 0.01% complication rate, and over 1,300 successful procedures performed by Dr. Deukmedjian.

Feature

Spinal Cord Stimulator

Deuk Laser Disc Repair®

Approach

❌ Masks pain with electrical signals

✅ Treats the source of pain

Procedure

❌ Invasive — requires laminectomy

✅ Minimally invasive, endoscopic

Hardware

❌ Permanent implant (leads + generator)

✅ None

Incision Size

❌ Two large incisions

✅ Less than 1/4 inch

Anesthesia

❌ General (intubated)

✅ Light IV sedation

Hospital Stay

❌ 1-3 days inpatient

✅ Outpatient — go home same day

Recovery Time

❌ 4-8 weeks

✅ Days

Device Dependency

❌ Lifetime — battery replacements required

✅ None

Complication Rate

❌ High — lead migration, paralysis risk

✅ 0.01%

Success Rate

❌ Variable — many end in pain management

✅ 95% patient satisfaction

A BETTER ALTERNATIVE

Deuk Laser Disc Repair®

Minimally invasive, outpatient procedure with a 0.01% complication rate and 95% patient satisfaction. No implants. No device dependency. Same-day recovery.

95%

Patient Satisfaction

0.01%

Complication Rate

1 Hour

Procedure Time