Procedure Not Recommended

Facet Joint Injection

Temporary Relief That Misses the Mark

Facet joint injections are frequently ineffective or provide only short-lived relief, and studies show that many injections miss the facet joint entirely. Rather than masking pain with repeated injections, better treatments like Deuk Plasma Rhizotomy® address the root cause of facet joint pain with lasting results.
Diagram of a syringe injecting between vertebrae in a spine model.

⚠️ While Deuk Spine Institute can perform Facet Joint Injections, we do not recommend them.
This page explains why — learn the risks before consenting to this procedure.

THE PROCEDURE

How Is a Facet Joint Injection Performed?

Graphic Medical Content

The videos below contain real procedural footage. Viewer discretion is advised.

Illustration of a human spine with a detailed close-up of cervical vertebrae and facets.

Step 1: Painful Joints Identified

Painful joints can be treated with anti-inflammatory or numbing medication injections. The physician identifies which facet joints are causing pain through physical examination and imaging.

X-ray image showing the placement of a needle in the spine during a medical procedure.

Step 2: X-Ray Image Guidance

Medical image guidance (fluoroscopy/X-ray) is used to visualize the spine and guide the needle to the correct location near the facet joint.

A medical professional in green scrubs administers an injection into a patient's back.

Step 3: Needle Placed Through Skin

A needle is placed through the skin and directed toward the targeted facet joint using real-time imaging guidance.

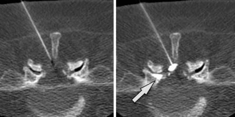
CT scan of a spine shows a needle targeting a spinal area, with an arrow indicating the entry point.

Step 4: Needle Targets Facet Joint

The needle is advanced until it reaches the facet joint capsule. Contrast dye may be injected to confirm proper needle placement within the joint space.

Collage of medical vials, a test tube diagram, and a gloved hand holding a vial.

Step 5: Medication Injected

Medication is injected into the facet joint. This can include steroid, lidocaine, platelet rich plasma (PRP), or stem cells depending on the physician’s approach.

CRITICAL RISKS

Why We Don't Recommend Facet Joint Injections

4 documented reasons why this procedure fails to deliver lasting results.

Graphic Medical Content

Images below contain medical imagery. Viewer discretion is advised.

Gloved hands using a syringe and forceps on skin prepared for a medical procedure.

Most Injections Are Ineffective or Temporary

Clinical studies consistently show that the majority of facet joint injections either provide no meaningful relief or deliver only a brief reduction in pain lasting days to weeks. The underlying joint degeneration, cartilage loss, and nerve irritation remain completely unaddressed.

A doctor examines a man in a hospital gown, grimacing in pain while sitting on a bed.

Pain Relief Is Always Temporary

Even when a facet joint injection does provide relief, the effect is inherently temporary. Steroids suppress inflammation for a limited time, and anesthetics like lidocaine wear off within hours. Patients are locked into a cycle of repeated injections every 3–6 months.

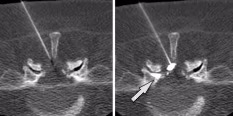
X-ray images showing correct and missed spinal injections labeled in green and red.

Many Injections Miss the Joint Entirely

Research has demonstrated that a significant percentage of facet joint injections fail to place medication accurately within the joint capsule, even when fluoroscopic (X-ray) guidance is used. The medication disperses into surrounding tissue with no therapeutic benefit.

Illustration of Deuk Plasma Rhizotomy procedure on a spinal nerve.

Better Treatments Available

Deuk Plasma Rhizotomy® uses advanced plasma technology to precisely address the pain-transmitting nerves of the facet joint, providing long-term relief without the need for repeated injections. Instead of temporarily masking pain with steroids, plasma rhizotomy eliminates the pain signal at its source.

DOCUMENTED COMPLICATIONS

What Can Go Wrong?

Graphic Medical Content

Images below contain real medical imagery. Viewer discretion is advised.

A person's back with multiple moles and freckles visible on the skin.

Nerve Root Damage

The injection needle can damage nearby nerve roots, causing radiating pain, numbness, or weakness in the arms or legs depending on the spinal level treated.

MRI showing a spinal fluid leak with red arrows indicating the affected area.

Spinal Fluid Leak

Accidental puncture of the dural membrane can cause cerebrospinal fluid leaks, leading to severe positional headaches and potential need for additional procedures.

Close-up of skin with two vertical scars and several small red marks.

Injury to Facet Joint

Repeated needle insertion into the facet joint can cause direct mechanical injury, accelerating cartilage breakdown and worsening the very condition being treated.

Illustration of a human spine with a detailed close-up of cervical vertebrae and facets.

Bleeding

The injection site is close to highly vascularized spinal structures. Bleeding can occur at the injection site or deeper within the spinal canal, causing hematomas and increased pain.

Large bruise on a person's back with purple and yellow discoloration.

Worsening of Pain

Some patients experience a paradoxical increase in pain following the injection, either from needle irritation, steroid flare reactions, or further aggravation of the inflamed joint.

WHAT WE RECOMMEND INSTEAD

Deuk Plasma Rhizotomy®: A Superior, Lasting Alternative

Instead of temporarily masking facet joint pain with repeated injections, Deuk Plasma Rhizotomy® uses advanced plasma technology to precisely target and eliminate the pain-transmitting nerves — providing long-term relief without steroids, needles, or repeat visits.

Treats the Root Cause

Rather than temporarily numbing inflammation, plasma rhizotomy addresses the facet nerve completely — eliminating the pain signal at its source for lasting relief.

Precise Technology

Advanced plasma technology targets pain-transmitting nerves with precision, unlike a needle injection that frequently misses its target joint entirely.

Longer-Lasting Relief

Patients experience years of pain relief instead of weeks. By eliminating the nerve signal, the procedure delivers results that injections can never match.

No Repeat Injections

Break free from the cycle of injections every 3–6 months. One plasma rhizotomy procedure replaces years of repeated needle visits and steroid exposure.

Feature

Facet Joint Injection

Deuk Plasma Rhizotomy®

Approach

❌ Injects medication near joint

✅ Plasma ablation of pain-transmitting nerves

Duration of Relief

❌ Hours to weeks

✅ Long-term (years)

Accuracy

❌ Many injections miss the joint

✅ Image-guided precision targeting

Repeat Treatments

❌ Every 3–6 months indefinitely

✅ Rarely needed

What Can Be Injected

❌ Steroid, lidocaine, PRP, stem cells

✅ N/A — no injections needed

Treats Root Cause

❌ No — temporarily masks inflammation

✅ Yes — eliminates pain signal

Procedure Time

❌ 15–30 minutes

✅ Similar — outpatient

Complication Rate

❌ Nerve damage, joint injury, bleeding

✅ Minimal complications

Success Rate

❌ Variable — often ineffective

✅ High success rate

Long-term Outcome

❌ Indefinite injections or escalation to surgery

✅ Lasting pain relief

A BETTER ALTERNATIVE

Deuk Plasma Rhizotomy®

No injections. No steroids. Proven plasma technology. Break free from the cycle of temporary injections and treat your facet joint pain at its source with lasting results.

Long-Term

Pain Relief (Years)

Precise

Plasma Technology

1 Visit

Outpatient Procedure