Procedure Not Recommended

Basivertebral Nerve Ablation

Intracept Procedure — Risks & Better Alternatives

Basivertebral Nerve Ablation (Intracept) destroys normal bone and bone marrow from the spine, does not treat the actual source of pain — disc injuries — and may lead to spinal instability. Discover safer, minimally invasive alternatives.

Medical illustration showing spinal procedure with a tool, disc bulge causing nerve pain, and vertebrae alignment.

⚠️ While Deuk Spine Institute can perform Basivertebral Nerve Ablation (Intracept), we do not recommend it.
This page explains why — learn the risks before consenting to this procedure.

THE SURGICAL PROCESS

How Is Basivertebral Nerve Ablation Performed?

Graphic Surgical Content

The videos below contain real surgical footage. Viewer discretion is advised.

Close-up of a needle piercing skin under a circular medical instrument.

Step 1: Cut Skin Behind Spine

An incision is made behind the spine to access the vertebral structures for the ablation procedure.

Surgical procedure showing needle insertion with accompanying X-ray guidance.

Step 2: Bore Hole Into Pedicle Bone

A drill is used to bore a hole through the normal pedicle bone of the vertebra.

Illustration of a medical instrument inserted through bone structure with visible internal details.

Step 3: Create Channel in Vertebrae

A channel is created through the bone of the vertebral body to reach the basivertebral nerve.

MRI of spinal vertebrae with labeled bone holes and a tool illustration in the top right corner.

Step 4: RF Probe Burns Bone Marrow & Nerves

A radiofrequency probe is inserted to burn and destroy the vertebral body bone marrow and nerves within.

CRITICAL RISKS

Why We Don't Recommend Basivertebral Nerve Ablation

12 documented reasons with supporting images and surgical footage.

Graphic Medical Content

Images and videos below contain real surgical procedures and medical imagery.

MRI image showing spinal bone destruction, highlighted by red arrows and text.

Destroys Normal Bone & Bone Marrow

X-ray of spine with needles and surgical setup on patient's back.

Excessive Bleeding

Illustration showing a transparent human figure with zoomed-in views of cervical facet joints.

Destroys Pedicle & Vertebral Body

Endoscopic views of the L5 vertebra showing labeled pedicle, nerve root, and basivertebral nerve structures.

Destroys Stabilizing Ligaments

Surgical tools are positioned near a covered patient with an incision on the abdomen.

Damages Spinal Muscles

Close-up of a pelvic kidney showing its internal structure and texture.

Scar Tissue Around Spine & Nerves

MRI of the spine highlighting herniated and degenerated discs.

Doesn't Treat Actual Pain Source

Illustration of an inflamed spinal section with highlighted vertebrae and intervertebral discs.

Stenosis Not Treated

MRI of the lower spine highlighting bone necrosis with red arrows.

Bone Necrosis (Bone Death)

Person selecting pills from a variety of medicine bottles on a table.

Excessive Post-Operative Pain

X-ray showing spinal fusion with metal implants in the lumbar region, both front and side views.

Back Pain Gets Worse

X-ray showing spinal fusion with metal screws and rods in the lower back.

Additional Surgery Likely Needed

DOCUMENTED COMPLICATIONS

What Can Go Wrong?

Graphic Medical Content

Images below show real surgical complications. Viewer discretion is advised.

A person's back with multiple moles scattered across the skin.

Nerve Root Damage

Permanent nerve damage causing weakness, numbness, or paralysis in extremities.

MRI showing cerebrospinal fluid leak with arrows indicating affected areas.

Spinal Fluid Leak

Dural tears leading to cerebrospinal fluid leaks, requiring additional repair surgery.

Close-up of an open surgical wound on a person's skin.

Infection of Bone or Spine

Post-surgical infection within the vertebrae or deeper spinal structures, including osteomyelitis.

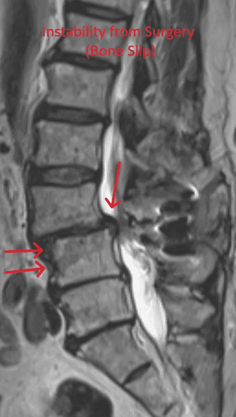
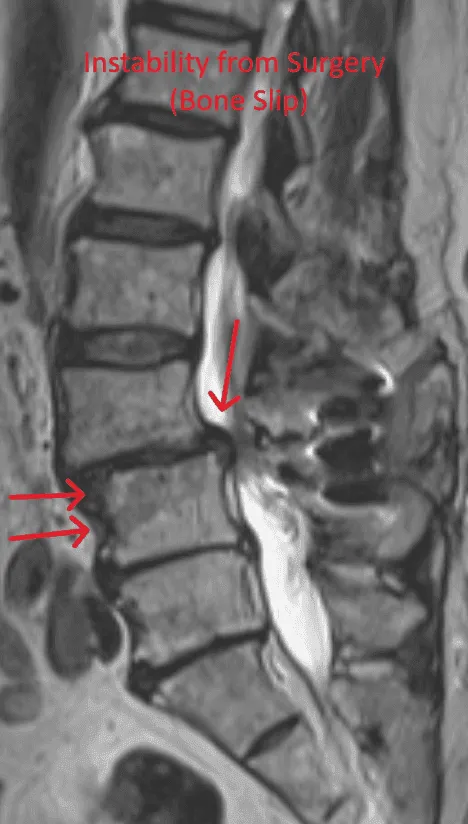
MRI of the spine showing bone slip due to post-surgical instability, indicated by red arrows.

Spinal Instability

Bone destruction from the procedure causes vertebral instability requiring fusion with screws and rods.

Illustration of a cracked vertebra in a spine segment.

Fractured Vertebrae

Weakened vertebrae from bone boring and ablation can lead to vertebral fractures and collapse.

A person holding their lower back with a highlighted spine and red area indicating pain.

Failure to Eliminate Back Pain

Pain often persists or worsens because the actual source — disc injuries — is never treated.

WHAT WE RECOMMEND INSTEAD

Deuk Laser Disc Repair®: A Safer, Proven Alternative

Instead of destroying bone and burning nerves inside your vertebrae, Deuk Laser Disc Repair® treats the actual source of pain — the damaged disc — through an incision smaller than a fingernail. For piriformis-related pain, Deuk Piriformis Release provides targeted relief, and for facet joint pain, Deuk Plasma Rhizotomy® offers a precise plasma-based solution.

No Bone Destruction

Your vertebral structure remains completely intact. No pedicle boring, no bone marrow destruction, no vertebral body damage.

Treats the Root Cause

Laser technology directly repairs disc injuries — the actual source of most chronic back pain that BVN ablation completely ignores.

Same-Day Recovery

Outpatient procedure under light sedation. Walk out the same day — no hospital stay, no intubation, no opioids required.

Proven Results

95% patient satisfaction, 0.01% complication rate, and over 2,750 successful procedures performed by Dr. Deukmedjian.

Feature

Basivertebral Nerve Ablation

Deuk Laser Disc Repair®

Approach

❌ Burns nerves inside vertebrae

✅ Treats the source of pain

Target

❌ Vertebral nerves — ignores disc injuries

✅ Damaged disc — the actual pain source

Bone Damage

❌ Destroys pedicle bone and bone marrow

✅ None

Incision

❌ Requires skin incision and bone boring

✅ Less than 1/4 inch

Anesthesia

❌ General or deep sedation

✅ Light IV sedation

Hospital Stay

❌ Day surgery or overnight

✅ Outpatient — go home same day

Recovery Time

❌ 2–6 weeks

✅ Days

Pain Source

❌ Not treated — disc injuries persist

✅ Directly treated with laser

Complication Rate

❌ Bone necrosis, instability risk

✅ 0.01%

Success Rate

❌ Limited evidence — pain often returns

✅ 95% patient satisfaction

A BETTER ALTERNATIVE

Deuk Laser Disc Repair®

Minimally invasive, outpatient procedure with a 0.01% complication rate and 95% patient satisfaction. No bone destruction. No nerve burning. Same-day recovery.

95%

Patient Satisfaction

0.01%

Complication Rate

1 Hour

Procedure Time